忍者ブログ
山好き人間のページ
2025年12月12日 (金) 14時35分  
×

[PR]上記の広告は3ヶ月以上新規記事投稿のないブログに表示されています。新しい記事を書く事で広告が消えます。

2006年11月21日 (火) 01時33分  

 

sword_x1.jpg

 

手品で見られる芸ですが、「本当に飲み込んでいるのか?」

と思う人は見てみてください。

まぁ、実際の手品ではそうなっているか分かりませんが。

剣を飲み込んで、レントゲンを撮った写真は

下のページに載っていました↓

 

  It's Knuttz - Sword Swallowers

 

全部で、14枚ありますが、ちょっと紹介。

 

 

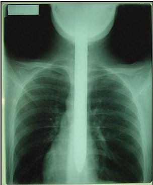
まずは、正面から↓

 

sword_x3.jpg

 

どの辺りまで飲み込んでいるのでしょうか…。

危険なのでマネしないように 。まぁ、マネなんてしないと思いますが。

 

そして、横から見たとき↓

 

sword_x2.jpg

 

剣の形がくっきりしています。

上で紹介したページに、もっと写真があります。

 

 

蛇足ですが、マジックやってる動画は下のページから↓

 

  Magic "Sword eater" - YouTube

 

繰り返しますが、危険なのでマネしないように 。

ちょっと安っぽい感じですが、 飲み込んでますね。

昔は、「剣が縮んでいるんだろう」と思っていたんですが、

本当に飲み込んでいるようですね。

もちろん、何かタネがある場合もあると思いますが。

 

PR
この記事と関係のないものや、不適切なトラックバックは削除させていただきます。
トラックバックURL:
(URLはクリックで指定できます)
- HOME -


Mozilla Firefox ブラウザ無料ダウンロード

RSS

ブログ内検索
最新記事
カレンダー
11 2025/12 01
1 2 3 4 5 6
7 8 9 10 11 12 13
14 15 16 17 18 19 20
21 22 23 24 25 26 27
28 29 30 31
月別記事一覧
カテゴリー
最新コメント
最新トラックバック
アクセス





あわせて読みたい






サイトの言葉を変換
忍者ブログ
[PR]

モンクレールの買取